Feed
Library
Learning
Discuss
Leaderboard
Journal
Sign in
Login
Sign up
Sign in
Feed
Library
Learning
Discuss
Leaderboard
Journal
S
Sovichia
about 6 years ago
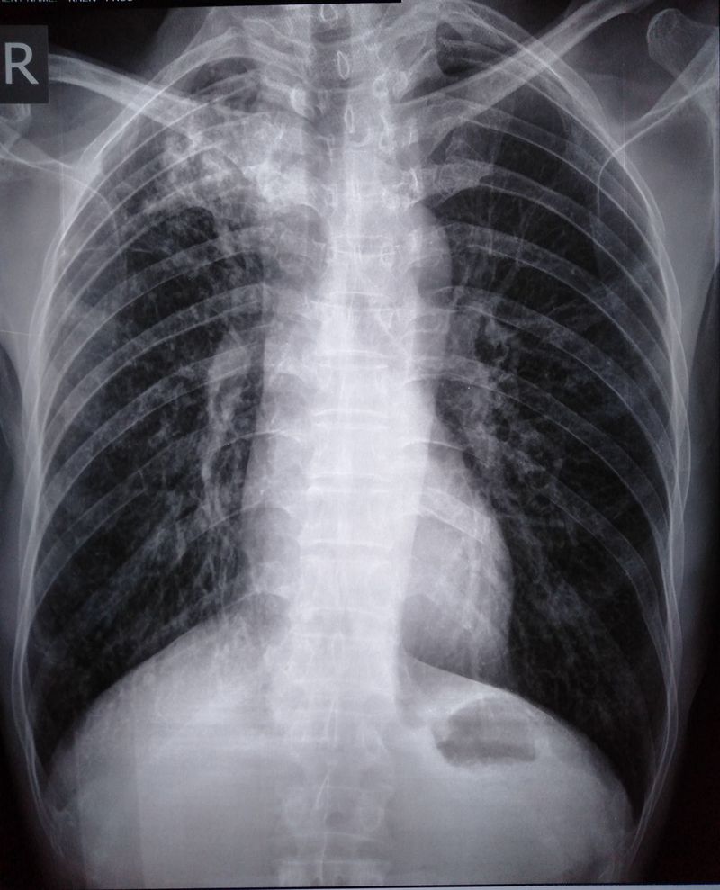
Patient 34yr come to emergency cc of hemoptysis
Emergency
Infections
Pneumology
543
0
1
Other comments
Sign in
to post comments. You don't have an account?
Sign up now!
Related posts
Drreza hasanzad
Emergency Meds
Emergency dental kit
Emergency dental kit
Emergency Hormonal Contraception
Naloxone
Emergency Medications
Odontogenic infections
Oral candidiasis
Emergency Medications
Recent MCQs
Show more MCQs
Recent flashcard sets
Show more flashcards
Feed
Learn
Add
Search
Discuss