
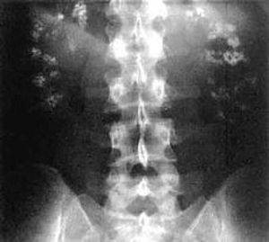
RTA is a condition results from a net decrease in tubular hydrogen secretion or bicarbonate reabsorption which produces a non-ion gap metabolic acidosis. There are three main types distal, proximal, and hyperkalmic. This abdominal radiograph shows bilateral nephrocalcinosis in a case of renal tubular acidosis.