
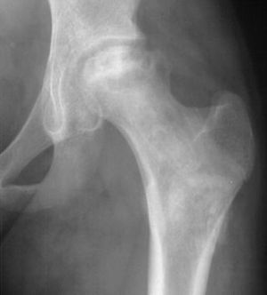
Avasculsr necrosis of the bone is Infarction of bone due to a disruption in blood supply. AVN of bone results from corticosteroid, alcohol, ideopathic, sickle cell anemia, and Gaucher's disease. Most commonly involved bones are femoral head (associated with subcapsular fracture that compromises medial circumflex femoral artery), Humeral head, scaphoid (most commonly fractured carpal bone), digits and talus. Evaluation is by MRI, X-Ray, and bone scan. Treatment is by using bisphosphonates.