
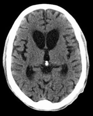
Huntington's disease is an autosomal dominant disease that is known by mutation on chromosome 4 with CAG trinucleotide repeates itself. Presentation is a young patient with a movement disorder, dementia, depression, aggression/psychosis. Key neurologic findings are atrophy of caudate nucleus seen on CT/MRI, decrease in GABA and Ach, increase in dopamine. Management is by using rivastigmine and tetrabenzine as they inhibit VMAT and increase neurotransmitter degradation by MAO. while haloperidol is used for psychotic symptoms and aggression. Note the atrophy of caudate nucleus on the MRI Image.
Four years ago, my life changed when I was diagnosed with Huntington’s disease. As time went on, the symptoms progressed faster than I expected. Despite trying multiple prescription medications, my coordination worsened, involuntary movements increased, and everyday tasks became more challenging. Emotionally and physically, it felt like I was losing control of my life. Last year, after a lot of research and hesitation, I decided to explore an alternative route and enrolled in a herbal treatment program with NaturePath Herbal Clinic. I didn’t expect much at first, but after several months, I began to experience meaningful improvements. My movements became more controlled, the constant jerking reduced significantly, and my balance improved. I also noticed a boost in my stamina and mental clarity, which helped restore my confidence and independence. Today, I feel stronger and more hopeful than I have in years. While I understand that every condition and person is different, this experience has truly made a difference in my quality of life. If you or someone close to you is living with Huntington’s disease and searching for additional support options, it may be worth learning more about their natural approach. Website: www.naturepathherbalclinic.com Email: info@naturepathherbalclinic.com