
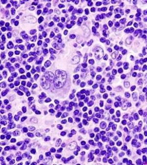
Hodgkin's lymphoma is neoplasm of large B lymphocytes (Reed Sternberg) cells. The most common subtype of Hodgkin's is nodular sclerosing which is more common in females. Symptoms are fever, chills, and night sweats. Biopsy is the test of choice and as you can notice in this histopathological picture a pair of owl-eyed nuclei which is a hallmarker for the diagnosis.