
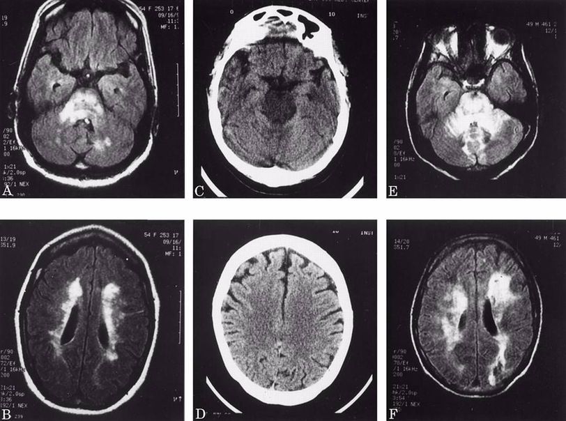
Hypertensive Encephalopathy is a condition that arises from rapid rise in the blood pressure that overwhelms the autoregulatory mechanisms in the brain leading to blood-brain barrier permeability and brain edema. Symptoms are headache, fits, speech and vision disturbances, and signs of papilloedema. Figure (A,B,E,and F) MRI of two different patinets shows signal changes in brain stem and cerebellum. (C, and D) CT scan of another patient shows mild swelling in pontine tegmentum. Diagnosis is by exclusion. The neurological symptoms are usually reversible if the blood pressure is controlled.