
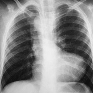
TOF is the most common cyanotic congenital heart disorder. It has four cardinal features, Right ventricular hypertrophy, ventricular septal defect, obstriction of right ventricular outflow, and aortic overriding. Plain X-Ray shows boot shaped heart with upturned heart apex. Treatment is by creating a shunt.