
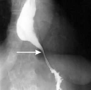
This barium swallow shows "Bird's Beak" appearence which is a characteristic of Achalasia.Achalasia is the most common motility disorder, it affects the distal part of esophagus. It results from the degeneration of myentric plexus with an autoimmune reaction leading to loss of nitric oxide producing neurons which results in failure of lower esophageal sphincter relaxation. Treatment of Achalasia can be medical treatment by using nifedipine, long acting nitrates, or botulinum toxin injection, and the Surgical treatment is endoscopic balloon diltation of lower esophageal sphincter.