
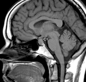
Note the tumor mass of pituitary gland revealed by this MRI.Prolactinoma symptoms result from hypersecretion of prolactin and its inhibitory effects, prolactin cells (aka lactotrophs or mammotrophs) are located in anterior pituitary. Symptoms of Prolactinoma in women are amenorrhea, galactorrhea, and infertility. In men the symptoms are low libido and headache. Because of the compression of optic chiasm there will be visual field loss in bitemporal hemianopsia. Treatment of this tumor is by dopamine agonists (bromocriptine or cabergoline) as they supress the secretion of prolactin.