
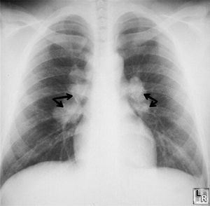
Silicosis is an occupational disease that is a part of group of diseases called pneunoconiosis.It occurs in workers who work in shipbuilding, roofing, and plumbing industries. Silicosis may impair macrophage function which increases the susceptibility to TB and also increases the incidence of primary lung cancer.