MEDizzy
MEDizzy
Medshots
Medshotsabout 9 years ago
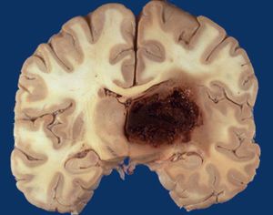
Basal ganglia hemorrhage

Basal ganglia hemorrhage

This is how a bleeding in the brain looks like!This is a case of hypertensive patient presented with basal ganglia hemorrhage.

0
Other commentsSign in to post comments. You don't have an account? Sign up now!

Recent MCQs















Show more MCQs

Recent flashcard sets















Show more flashcards