Feed
Library
Learning
Discuss
Leaderboard
Journal
Sign in
Login
Sign up
Sign in
Feed
Library
Learning
Discuss
Leaderboard
Journal
Dr.Gowsalya
about 6 years ago
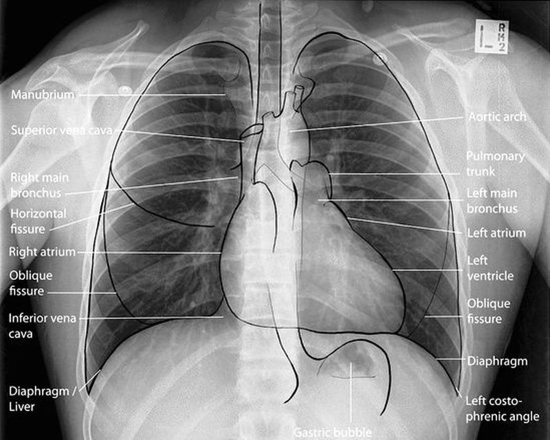
Chest X ray
Anterior view
Radiology
Pulmonology
Chestxray
2
0
7
Other comments
Sign in
to post comments. You don't have an account?
Sign up now!
Related posts
Symptoms of pneumonia
Basic Brainstem Radiology
Spine Radiology I
Spine Radiology II
open pneumothorax
closed pneumothorax
Tension pneumothorax
Ace Your Respiratory Examination OSCE - With This Clinical Skills Master Class - Dr Gill
Doctor Explains: How to PURIFY Smokers Lungs!
Bronchitis
Recent MCQs
Show more MCQs
Recent flashcard sets
Show more flashcards
Feed
Learn
Add
Search
Discuss