MEDizzy
MEDizzy
Dr Vijay Sharma
Dr Vijay Sharma about 6 years ago
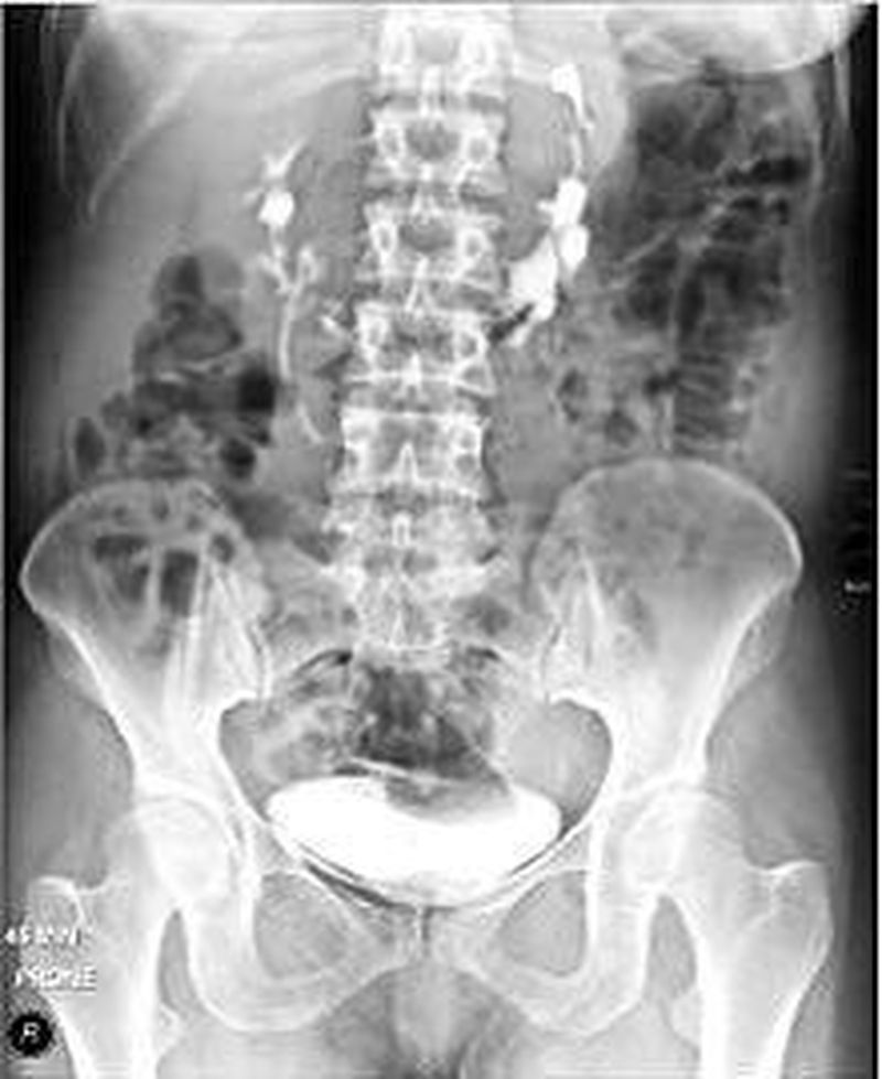
Intravenous pyelogram showing horseshoe kidney.

In this disorder, the patient's kidneys fuse together to form a horseshoe-shape during development in the womb. The fused part is the isthmus of the horseshoe kidney. The abnormal anatomy can affect kidney drainage resulting increased frequency of kidney stones and urinary tract infections as well as increase risk of certain renal cancers.

Intravenous pyelogram showing horseshoe kidney. In this disorder, the patient's kidneys fuse together to form a horseshoe-shape during development in the womb. The fused part is the isthmus of the horseshoe kidney. The abnormal anatomy can affect kidney drainage resulting increased frequency of kidney stones and urinary tract infections as well as increase risk of certain renal cancers.

7
Other commentsSign in to post comments. You don't have an account? Sign up now!

Recent MCQs















Show more MCQs

Recent flashcard sets















Show more flashcards