
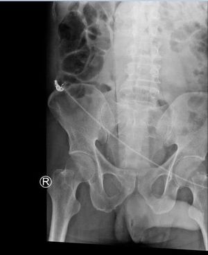
40 y.o male came to ER SOB and c/o abdomen pain. Did not say why. Xray showed this! It tried to be removed via procedural sedation however object was too large, so pt went to OR to get it surgically removed. Doubt he will be using that anymore. Haha
We send our dildo to pathology as a specimen. ..one that size really distorts the normal anatomy of the colon!!!
The strangest i have seen was a giant african snail the guy said he put there for good luck...rubbish