
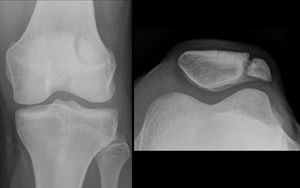
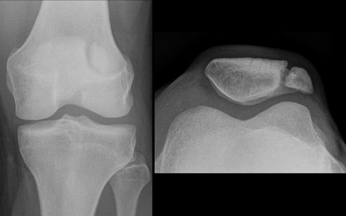
Interesting when I first saw it in my first time in practise. I thought it was fractured until I pain attention to the smoothed edges. Its an anatomical variation caused when the patella fails to ossiffy during development 🙂
No Ben, a Radiologist explained to me when I showed him the images. Btw !! Since We dont take images or pictures of our Real patients I had to find this pic on the internet that resembled the case/pt. I am a radiographer/ rad tech Ben :)
I Can find it, But I Dont know How to put it up and it would have to be found of the internet and not from one og my pt. / cases :) Marieke
Marieke I have now poster a picture of a fractured patella (latteral view) plus repairment pictures for you to compare :)
I know I am not educated or licensed to make any diagnoses on pathology so I Will only be posting cases that I have been Consulting with a radiologist and then radiographer/ rad.tech stuff :)