
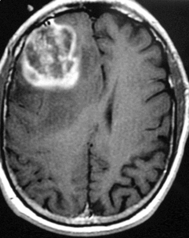
Imaging shows a large mass growing within the brain. After further observation, it was known to be GBM (Glioblastoma Multiforme). Unfortunately, GBM is not a benign tumor. It is a malignant one. It is a very aggressive and fast growing tumor. Even when neurosurgeons perform a craniotomy for the resection of a GBM, they may assign the patient to radiotherapy and chemotherapy.
This tumor is on the right frontal lobe (even though on the imaging it’s on the left side). Frontal lobe tumors have various symptoms. Some include impaired judgement, behavioral and emotional changes, sometimes papilledema, hemiplegia, etc. These might not always be the symptoms.
Will this tumor affect how the person functions? If so, what area will it affect?