
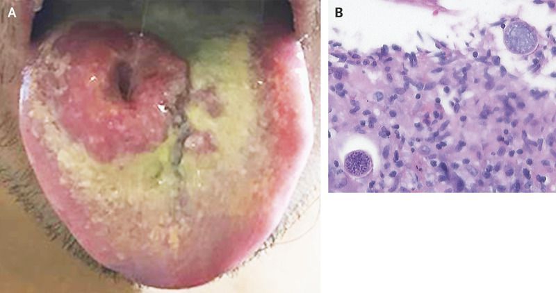
A 34-year-old man with a history of human immunodeficiency virus (HIV) infection presented to the emergency department with a 1-week history of headache, fever, and confusion. His temperature was 39.3°C, and on physical examination a large, ulcerative lesion was noted on his tongue (Panel A). The patient’s CD4 count was 39 cells per cubic millimeter (reference range, 500 to 1450), and his HIV viral load was 197,000 copies per milliliter. A chest radiograph showed patchy infiltrates in both lungs. IgG antibodies to coccidioides were detected in the blood and cerebrospinal fluid (CSF), and coccidioides antigen was detected in the blood, CSF, and urine and in fluid obtained on bronchoalveolar lavage. A biopsy specimen of the tongue lesion was obtained, and staining with hematoxylin and eosin revealed multiple fungal organisms consistent with coccidioides spherules (Panel B). Coccidioides was also noted in fungal cultures of fluid obtained on bronchoalveolar lavage. Antifungal treatment was initiated; a combination of liposomal amphotericin B and fluconazole was administered for 2 weeks, followed by fluconazole monotherapy. HIV genotype testing revealed resistance to one of the medications the patient was taking, and the antiretroviral regimen was adjusted. At follow-up 3 months after presentation, the patient’s fever and headache had resolved, the tongue lesion had decreased in size, and the HIV viral load had become undetectable. He was subsequently lost to follow-up.
When hiv is undetectable, is it gone? Or does the patient need to continue medication? And what does lost to follow up mean?
Living with HIV was one of the hardest experiences of my life. The fatigue, the emotional toll, and the uncertainty about the future weighed on me every single day. I had tried many treatments and medications, but nothing seemed to restore my health or energy the way I hoped.Out of both hope and desperation, I came across NaturePath Herbal Clinic. At first, I was skeptical but something about their natural approach and the powerful stories I read gave me the courage to try one more time.I began their herbal treatment program, and within a few weeks, I noticed small but meaningful changes more energy, better sleep, and a stronger immune system. Over the months, those improvements only grew. Today, I can truly say my life has changed. I feel healthier, more balanced, and finally in control of my well-being again.This isn’t just a testimony it’s a heartfelt recommendation to anyone living with HIV or any chronic condition. Don’t give up hope. I’m so grateful I gave NaturePath Herbal Clinic a chance. Visit their website to learn more: www.naturepathherbalclinic.com Email: info@naturepathherbalclinic.com