Feed
Library
Learning
Discuss
Leaderboard
Journal
Sign in
Login
Sign up
Sign in
Feed
Library
Learning
Discuss
Leaderboard
Journal
Dr. Vikram
almost 8 years ago
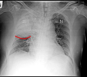
Lung
Fissure
Bulging
0
0
0
Other comments
Sign in
to post comments. You don't have an account?
Sign up now!
Related posts
Lung Anatomy V
Causes of pleural effusion
Pleural effusion and chest wall disorder
Types of bronchiectasis
Asthma and COPD features
Normal Spirogram
Normal Spirogram
Typical molar with stained fissures and no diagnosable caries.
Fissure sealant
Collapse of the left upper lobe of lung
Recent MCQs
Show more MCQs
Recent flashcard sets
Show more flashcards
Feed
Learn
Add
Search
Discuss